Dermatology
肌トラブルに寄り添い、症状に合わせたケアを
皮膚の不調は、かゆみや赤み、湿疹などさまざまな形であらわれます。
当院では以下のような症状に対して、丁寧な診察と適切な治療を行っています。気になる症状がある方はお気軽にご相談ください。
アトピー性皮膚炎、蕁麻疹、乾燥性皮膚炎、接触皮膚炎、疥癬
接触皮膚炎、薬疹、湿疹、虫刺され、蜂窩織炎
アトピー性皮膚炎、脂漏性皮膚炎、手湿疹、汗疹、尋常性乾癬
尋常性ざ瘡、酒さ、毛包炎、ステロイドざ瘡
乾燥性皮膚炎、老人性乾皮症、アトピー性皮膚炎
帯状疱疹、単純ヘルペス、接触皮膚炎、火傷(やけど)
脂漏性皮膚炎、乾癬、頭部白癬(しらくも)
尋常性疣贅(ウイルス性いぼ)、軟性線維腫、粉瘤(アテローム)、皮膚腫瘍
炎症後色素沈着、肝斑、老人性色素斑、白斑
爪白癬(爪の水虫)、円形脱毛症、甲状腺疾患に伴う変化



アトピー性皮膚炎
アトピー性皮膚炎は、アレルギー体質や皮膚のバリア機能低下が関与する慢性の炎症性皮膚疾患です。
乳児期から小児期に発症し、かゆみの強い湿疹が再発・慢性化します。原因はダニ、ハウスダスト、食物、ストレスなど多岐にわたり、血液検査(IgE抗体など)やアレルゲン検査で体質を評価します。
治療は保湿やステロイド外用薬、抗アレルギー薬の内服、悪化因子の除去が基本です。重症例では免疫抑制剤や生物学的製剤を使用することもあります。

じんましん
じんましんは、皮膚に突然あらわれる赤く盛り上がった発疹で、強いかゆみを伴います。数時間で消えるのが特徴です。じんましんは、原因がはっきりしないことも多いです。

接触皮膚炎
植物、金属、化粧品ゴム製品医薬品などによるアレルギー反応もしくは、洗剤や衣服のこすれなどの物理的刺激、極端な温度(熱湯・冷却剤の接触)で発症します。

虫刺され
顔や腕などの露出部に赤くはれた皮疹がでます。

とびひ
かゆみで皮膚を掻くことで、ひろがります。細菌感染が関係しています。

疥癬
専用のデルモスコープで写真を撮影すると、ダニの皮膚トンネルが確認できます。

手足口病
夏によく発生します。多くは、乳幼児の手のひらや足のうらに発疹が出ます。喉にも赤い発疹が出ることもあります。

突発性発疹
2歳までの小児に多くみられる病気です。高熱のあと、治る時期に胸やお腹、背中から発疹が出ます。

溶連菌による皮疹
3歳以降に溶連菌感染は多くみられます。ざらざらした手触りの赤い皮疹が出ることがあります。

手湿疹
手のひら、指、手の甲などに出やすいです。

汗疹
あせもです。汗が詰まって赤いぶつぶつができ、かゆみを伴うこともあります。

尋常性乾癬
皮膚が赤く盛り上がり、銀白色のフケのようなかさぶたが出現。

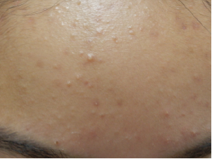
尋常性ざ瘡
にきびです。毛穴に皮脂がたまり、炎症を起こして赤く腫れることがあります。当院では、外用薬や内服薬による治療を行っています。

毛包炎
毛穴に細菌が感染し、赤く小さな膿をもつできものができます。

帯状疱疹
ピリピリした痛みと水ぶくれが帯状に現れます。早期治療が重要。

みずぼうそう
小さな水ぶくれが全身に出るウイルス性の感染症です。かゆみが強く、頭皮に水ぶくれが出るのは特徴です。

単純ヘルペス
唇や陰部などに痛みを伴う水ぶくれができ、繰り返しやすい病気です。

尋常性疣贅(ウイルス性いぼ)
ウイルス感染でできるいぼ。手足に多く、硬く盛り上がります。液体窒素治療を行っています。

粉瘤(アテローム)
皮膚の下にできる袋状のしこりで、炎症や膿を伴うこともあります。

老人性色素斑
紫外線の影響でできる、年齢とともに増える茶色のしみです。しみ治療も対応しています。
詳しくはこちらをご参照ください

脂漏性角化症
良性のいぼで、茶色く盛り上がり、加齢に伴って増加します。液体窒素治療を行っています。

ウオノメ(鶏眼)
足裏などの圧迫部位にできる硬い角質。歩くと痛みがあります。当院で治療可能です。

爪白癬(爪の水虫)
爪が白く濁って厚くなり、もろくなる白癬菌の感染症です。白癬菌の検査、投薬を行っています。
